Tag Archives: bypass surgery

Diagnosis and treatment of heart disease explained.

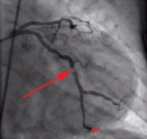
Heart disease, sometimes called coronary artery disease,  is caused by atherosclerosis, a process which involves the accumulation of cholesterol plaques in the arteries that supply blood to the heart. These plaques can narrow the blood vessels and reduce blood and oxygen delivery to the heart, leading to symptoms like chest pain (ischemia). The plaques can also rupture and form a blood clot, blocking oxygen delivery and causing a myocardial infarction—a heart attack.

Coronary_angiography_of_a_STEMI_patient,_showing_partial_occlusion_of_left_circumflex_coronary_artery

Continue reading

Diagnosis and treatment of heart disease explained.

Coronary artery disease or heart disease is caused by atherosclerosis, a process which involves the accumulation of cholesterol plaques in the arteries that supply blood to the heart. These plaques can narrow the blood vessels and reduce blood and oxygen delivery to the heart, leading to symptoms like chest pain (ischemia). The plaques can also rupture and form a blood clot, blocking oxygen delivery and causing a myocardial infarction—a heart attack.

Coronary_angiography_of_a_STEMI_patient,_showing_partial_occlusion_of_left_circumflex_coronary_artery

Continue reading

What your doctor may do to diagnose and treat heart disease, and what YOU should do

As Heart Month draws to a close, it’s worth understanding a bit more about the tools your doctor may use to diagnose and treat heart disease or a heart attack. And, equally important, what you can (and should) do if you have a heart attack help prevent it from happening again.


Coronary_angiography_of_a_STEMI_patient,_showing_partial_occlusion_of_left_circumflex_coronary_artery


Coronary artery disease or heart disease is caused by atherosclerosis, a process which involves the accumulation of cholesterol plaques in the arteries that supply blood to the heart. These plaques can narrow the blood vessels and reduce blood and oxygen delivery to the heart, leading to symptoms like chest pain (ischemia). The plaques can also rupture and form a blood clot, blocking oxygen delivery and causing a myocardial infarction—a heart attack.

If you experience symptoms such as chest pain or have a high risk of heart disease due to family history and other risk factors, your doctor may recommend a diagnostic test. In a graded exercise test (GXT), or “stress” test, a person exercises, typically walking on a treadmill, at increasing speed and grade while heart rate, blood pressure, and heart rhythm are monitored by a doctor or exercise physiologist.

Stress_test

Changes in these variables, as well as the person’s exercise capacity, can be signs of ischemia and heart function. Often, a GXT is combined with another diagnostic technique such as nuclear imaging, which shows areas of the heart that do not receive enough blood flow, or an echocardiogram that uses ultrasound to show the heart beating and ejecting blood.

Based on the GXT results a cardiologist may recommend an angiogram, in which a catheter is inserted into an artery and threaded into the coronary arteries, dye is injected, and the coronary arteries are viewed through X-ray imaging. This allows cardiologists to actually see the extent of the narrowing in the coronary arteries.

You can been diagnosed with heart disease based on the results of an angiogram or if you had a heart attack. During the angiogram a cardiologist can perform an angioplasty in which a balloon catheter is inflated to open narrowed arteries. A mesh stent may also be placed to help keep the vessel open for longer. In other cases coronary artery bypass surgery may be indicated. Considered open heart surgery, this procedure actually bypasses narrowed sections of coronary arteries using another vessel, typically a leg vein. Both angioplasty and bypass surgery can restore adequate blood flow to the heart and treat ischemia and heart attacks.

Many people consider the treatment complete after the heart attack has ended and the angioplasty or bypass surgery is complete. The truth is that the long-term outcomes are largely based on what happens next. Traditionally, heart disease patients were told to rest and not stress their hearts, a belief that many still hold today. But exercise-based cardiac rehabilitation programs are key to improving heart health and preventing future complications.

Most cardiac rehabilitation programs include several phases. Phase I programs start in the hospital and focus on getting out of bed and performing self-care activities and some walking. Phase II cardiac rehab involves closely-monitored exercise, usually for 12 weeks following a heart attack or surgery. Phase III involves longer exercise sessions with greater independence and transitions into Phase IV, a lifelong exercise program. Education about exercise, nutrition, weight control, stress management, proper medication use, and psychosocial wellbeing are essential in all phases of cardiac rehabilitation.

The benefits of cardiac rehabilitation are well-established through research and practice. In fact, many patients credit cardiac rehabilitation with saving their lives, even if they had bypass surgery. Despite this, less than a third of patients who are eligible for cardiac rehabilitation actually attend a program.

If you or someone you know has had a heart attack or surgery, encourage them to ask their doctor about cardiac rehabilitation—it is likely to be the best way to improve quality of life and avoid future heart problems.